近日,南方医科大学第五附属医院口腔医学中心在麻醉科的积极配合下,成功完成从化区首例儿童舒适化全麻下口腔多颗龋齿治疗,填补了我区无全麻下儿童口腔牙科治疗的空白。
患儿三岁,口腔内有多颗龋坏牙需要治疗,因年龄太小畏惧环境抗拒治疗。经专家团队的综合评估制定了适宜的镇静镇痛方案,在征得患儿父母同意后,开展了全麻下儿童口腔舒适化治疗,让患儿在轻松、舒适的状态下一次性成功完成龋齿、牙髓病及根尖周病等共计14颗龋坏牙的治疗。治疗后患儿状态良好,家长对治疗效果表示满意。

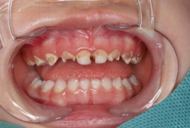
▲术前口内照片

▲ 术后口内照片
口腔医学中心主任卢海宾介绍,以往在口腔诊疗中对不合作的小朋友多采取束缚式等强制治疗的方法,对孩子的心理创伤较大,易产生牙科恐惧症,门诊治疗周期较长,复诊次数多,影响儿童和家长的正常学习、工作和生活。但在全麻状态下,小朋友配合程度高,利于医生操作从而提高治疗质量,可一次性治疗多颗患牙,省去了家长和小朋友的多次奔波,同时不会对孩子产生任何痛苦的记忆,孩子的感受是“我睡了一觉,嘴里就长出小白牙来了”。
目前,省内可以开展儿童舒适化全麻下牙科治疗的医疗机构并不多,均处于一号难求的状态,需要等待的时间较长。南方医科大学第五附属医院口腔医学中心成功完成从化区首例儿童全麻下口腔多颗龋齿治疗,代表着我院在儿童牙科诊治方面再上新台阶,这也为从化及周边地区的儿童牙病患者提供了更好、更便利的诊疗选择。