2月20日上午9点多钟,南方医科大学第五附属医院超声医学科候诊大厅里熙熙攘攘的人群中来了位特殊的“患者”,当她将书写有“妙手回春,一针见效” 锦旗送到超声医学科邱建民主任手上时,周围人群送来阵阵掌声与赞许的目光。王女士激动地说:“这么好的技术,真的要让更多和我一样备受困扰的患者知道,可以帮到更多人早日摆脱痛苦。真的非常感谢邱主任!”

送锦旗的王女士,是一位已经康复的子宫腺肌病患者,因“月经量增多伴进行性痛经加重”被折磨了1年多,痛苦不堪,还出现了轻度贫血,多方就医无明显好转。后来打听到南方医科大学第五附属医院超声医学科开展了子宫肌瘤及腺肌病的微波消融术,也从网络上了解到该手术微创且疗效好,就挂号来到了邱建民主任的诊室。
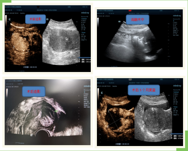
经超声检查,王女士患有明显的子宫腺肌病,子宫增大近球形,主要病变区位于宫底及子宫后壁,经与王女士分析沟通后,其要求进行消融术灭活病灶。于2022年9月18日入院完善术前检查后,邱健民主任的介入超声团队在超声引导下经过近2个小时的消融术顺利将腺肌病灶消融,即时超声造影显示消融区范围57X50X37mm。消融后患者感觉无明显不适,观察2天后出院。术后20天患者已恢复月经,术后精神状态明显好转,一直未出现痛经,月经量也基本正常。2023年2月13日第二次复查彩超,提示消融区范围缩小至37X34X30mm,已较消融前缩小了近50%。已经恢复正常生活和工作的王女士说:“早知道有这样的技术就好了,之前每天都要吃药,不然就严重干扰到工作和生活,太痛苦了。”

子宫腺肌病是由于子宫内膜组织异位侵入子宫肌层,随月经周期性内膜脱落时发生子宫肌层内出血,出血以后导致肌纤维和结缔组织增生,因此患者会出现月经周期缩短、经期延长、经量增多,以及继发痛经进行性加重等。轻度子宫腺肌症患者可能症状不明显,而重度患者可能出现严重的临床症状。大多治疗是对症用药,难于根治。消融术是应用物理或化学方法对病灶进行毁损坏死后,机体对坏死区再吸收而达到消除病灶的方法。目前应用效果较好的有微波与射频,因发射热能的微波针及射频针细小,在现代影像技术引导,尤其是以灵活无辐射见长的超声引导,精准、微创、患者恢复快、疗效确切,一定程度上可达到替代手术的效果。
邱建民介绍,南方医科大学第五附属医院超声医学科介入团队开展介入诊治已近10年,业务范围已涵括超声引导下的组织(肿块)穿刺活检术、甲状腺细针穿刺活检术、囊肿穿刺抽吸+硬化术、深静脉置管术、脓肿(积液)置管引流术、甲状腺良性结节消融术、子宫肌瘤(腺肌病)消融术等,均取得良好的治疗效果。